마산전체임플란트
고난이도 케이스라도 안정적인 식립을
우리가 무심코 사용하는 치아는
단순히 음식을 저작하는 기능을 넘어서,
삶의 질과 자신감을 결정짓는
중요한 역할을 합니다.
특히 웃을 때 드러나는 가지런한 치아는
대인관계와 인상에도
큰 영향을 미칩니다.
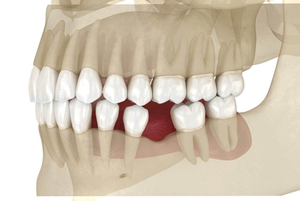
그런데 치아가 상실되었을 때,
단순히 불편함만이 아닌 자신감 상실,
식습관 변화, 심리적 위축까지
다양한 문제가 발생합니다.
특히 여러 개의 치아를 동시에
상실하거나, 오랫동안 방치해
잇몸 뼈가 약해진 경우에는
일반적인 임플란트가 아닌
고난이도 수술이 필요합니다.

이때 필요한 것이 바로 고난이도
임플란트 식립이며, 전체 치아를
대체해야 하는 상황이라면
디지털 시스템을 갖춘 곳의
접근이 중요합니다.
고난이도 임플란트는 단순히 치아가
빠진 자리에 인공 치근을
심는 수술이 아닙니다.
치아 상실 후 시간이 오래 지나
뼈가 흡수되었거나, 기존의 잇몸 구조가
약해져 일반적인 식립이 어려운 경우,
여러 가지 보조적 수술을 병행하여
진행하는 복합적이고 정밀한 치료입니다.
이 치료는 단일 치아보다
복잡한 구조를 요구하며,
전악 수복이나 골이식, 상악동 거상술,
매복치아 제거 등 다양한
수술적 접근이 필요합니다.

치아를 오랫동안 방치하면, 주변 뼈가
서서히 흡수됩니다.
뼈가 줄어든 상태에서는 임플란트를
고정할 지지가 부족해
바로 식립이 어렵습니다.
이런 경우 뼈 이식술을 통해
충분한 골량을 확보한 후
식립을 진행합니다.
심한 치주염이나 치주질환은
잇몸 조직과 치조골을 파괴합니다.
임플란트를 심기 위해서는 안정된
뼈 기반이 필요한데, 이처럼 손상된 부위는
사전에 치주 치료와 골이식이 필요합니다.

위턱 어금니 부위는 상악동이라는
비어 있는 공간과 맞닿아 있어,
치아가 빠졌을 경우 임플란트를 심기 위해
상악동을 거상하는 수술이 필요합니다.
이를 상악동 거상술이라고 하며,
숙련된 기술이 요구되는 고난이도 수술입니다.
매복된 사랑니나 발치가 제대로
되지 않아 뼛속에 남은 치근이 있을 경우,
임플란트를 식립하기 전에
제거 수술이 필요합니다.
이 과정 또한 신경 및 해부학적 구조를
고려한 고도의 기술이 요구됩니다.
앞니처럼 심미성이 중요한 부위는
위치나 각도, 잇몸 라인까지 정밀하게
고려해야 하므로 고난이도에 해당합니다.
심미 보철을 위해 디지털 스캔 및
시뮬레이션이 함께 이뤄져야
만족스러운 결과를 기대할 수 있습니다.

임플란트의 성공 여부는 골융합이라고
불리는 뼈와 임플란트의 결합이 얼마나
잘 이뤄지느냐에 달려 있습니다.
하지만 뼈가 부족하면 이러한 결합이 어렵고,
결과적으로 실패 확률이 높아집니다.
뼈 이식술은 부족한 치조골 부위에
인공 뼈 또는 자가 뼈를 이식해
충분한 골량을 확보하는 수술입니다.
상악동 거상술은 상악 어금니 부위처럼
상악동과 가까운 부위에 인공 뼈를 이식하고,
상악동을 위로 들어올려 공간을
확보하는 고난이도 수술입니다.

마산전체임플란트 스마트365치과마산석전점은
3D CT 촬영, 구강 스캔 등 디지털 장비를 통해
뼈의 양, 신경 위치, 상악동 구조 등을
정밀하게 분석합니다.
모든 환자의 구강 구조는 다르기 때문에,
환자에 맞는 식립 위치와
수술 방법을 결정합니다.
잇몸 뼈 재건이 필요한지, 어느 부위에
보철을 연결할지 등을 고려한
수술 설계가 필요합니다.
필요 시 뼈 이식술, 상악동 거상술,
치주 치료 등을 선행한 후
임플란트 식립을 진행합니다.

고난이도 수술은 정밀한 조작이 가능해야 하며,
치료 후 부작용을 줄여야 합니다.
임플란트와 뼈가 안정적으로 융합된 후
보철을 연결하여 외관과
기능을 회복합니다.
이때 교합 조정, 심미 보철 선택 등
세밀한 조치가 함께 진행됩니다.
임플란트는 단순히 치아를 심는 수술이 아닌,
환자의 삶의 질을 회복시키는 방법입니다.
디지털 장비와 숙련된 전문의를 통해
보다 안정적인 식립이 가능합니다.
전체 임플란트는 단일 치아가 아닌
위턱 혹은 아래턱 전체를 식립하는
경우가 많기 때문에, 더욱 정밀하고
체계적인 접근이 필요합니다.

마산전체임플란트 스마트365치과마산석전점은
임플란트 치료와 관련된
다양한 디지털 장비를 갖추고 있으며,
치료 과정에서 발생할 수 있는
문제를 미리 예방할 수 있는
체계적인 시스템을 제공합니다.
치아 상실로 고민하고 있다면, 방치하지 말고
정확한 검진과 상담을 통해
자신에게 가장 적합한 임플란트 치료를
선택하시기 바랍니다.
고난이도 케이스일수록 정밀한
수술이 요구되는 만큼,
경험 많은 의료진과 상담을 통해
신중히 결정하는 것이 중요합니다.